Loading...
Loading...
Loading...
Opening Hours: Mon - Sat : 9:00 am - 9:00 pm, Sunday : 9:00 am - 5:00 pm

Teeth Cleaning

Home Teeth Cleaning
Teeth Cleaning

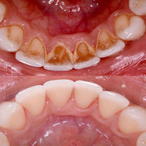
Keep Your Smile Bright and Healthy with Professional Teeth Cleaning at Apollo Dental, Sahakarnagar

Maintain excellent oral health and a sparkling smile with our gentle and thorough teeth cleaning services.

At Apollo Dental, Sahakarnagar, we provide professional teeth cleaning services to remove plaque, tartar, and stains that regular brushing and flossing can’t eliminate. Our experienced dental hygienists use advanced tools and gentle techniques to ensure a comfortable and effective cleaning experience. Regular teeth cleanings not only keep your smile looking bright but also help prevent cavities, gum disease, and other dental issues. Trust Apollo Dental to help you maintain optimal oral health and a confident, fresh smile.

dental cleaning in sahakaranagar, dental scaling in sahakara nagar, teeth cleaning cost in apollo, teeth cleaning and polishing in sahakara nagar, teeth cleaning doctors in sahakara nagar, teeth cleaning in sahakara nagar, teeth polishing in sahakara nagar

At Apollo Dental, we believe that a healthy mouth is the foundation for a beautiful smile and overall well-being. That’s why we offer comprehensive dental cleaning in sahakaranagar to help you maintain excellent oral health and a fresh, sparkling smile.

Many patients visit us looking for thorough teeth cleaning in sahakara nagar to remove plaque, tartar, and stains that regular brushing can’t address. Our experienced teeth cleaning doctors in sahakara nagar use advanced equipment and gentle techniques to ensure your cleaning experience is comfortable and effective.

A key component of our services is dental scaling in sahakara nagar. Dental scaling involves removing hardened plaque (calculus) from above and below the gum line to prevent gum disease and maintain healthy teeth and gums. Our skilled hygienists and dentists carefully perform scaling to keep your gums healthy and reduce the risk of tooth loss and inflammation.

For patients wanting that extra sparkle, we also offer teeth cleaning and polishing in sahakara nagar. Polishing smooths the tooth surface and removes surface stains, leaving your teeth feeling clean and looking radiant. It’s a simple yet powerful way to keep your smile bright between dental visits.

A common question we hear is about the teeth cleaning cost in Apollo. At Apollo Dental, we’re committed to providing high-quality dental care that’s also affordable. The cost of cleaning may vary depending on the extent of plaque or tartar buildup, but we always ensure our prices are transparent and competitive. During your visit, we’ll clearly explain the cost and help you choose the best preventive care plan for your needs.

Regular teeth polishing in sahakara nagar and professional cleanings not only keep your smile looking great but also help prevent serious dental issues such as cavities and gum disease. By removing harmful bacteria and buildup, our dental cleaning services promote fresh breath, healthier gums, and an overall sense of confidence.

At Apollo Dental, we tailor every cleaning to your unique oral health needs. Whether you’re coming in for routine maintenance or require deeper cleaning due to gum disease, our caring team ensures your comfort every step of the way.

If you’re searching for reliable teeth cleaning doctors in sahakara nagar who prioritize gentle and thorough care, Apollo Dental is your trusted choice. Our commitment to excellence and patient-focused service has made us a leading provider of dental cleaning in sahakaranagar and surrounding areas.

Don’t wait until dental problems arise. Schedule your cleaning today and experience the benefits of professional teeth cleaning and polishing in sahakara nagar. Your smile deserves the best care to stay healthy, bright, and beautiful.

Call us at +91 9845055386 or visit www.apollodentalsahakarnagar.com to book your appointment and learn more about teeth cleaning cost in Apollo and our full range of preventive dental services.

At Apollo Dental Clinic in Sahakara Nagar, Bangalore, we proudly serve patients not only from Sahakara Nagar but also from nearby areas such as Allasandra, Amruthahalli, Ananthpur Gate, Attur Layout, Bhadrappa Layout, Bhoopasandra, BSF Campus Yelahanka, Byatarayanapura, Dasarahalli Kempapura, Dasarahalli Peenya, Devi Nagar, Doddabettahalli, Dr. Shivaram Karanth Nagar, Hebbal, Jakkur, Judicial Layout, Kempapura, Kodigehalli, Kogilu, Manayata Tech Park, NTI Layout 2nd Phase Vidyaranyapura, Puttenahalli, R K Hegde Nagar, Ramamurthy Nagar, Singasandra, TATA Nagar, Telecom Layout, Thanisandra Main Road, Tindlu, Vidyaranyapura, Virupakshapura, and Yelahanka New Town.

If you are looking for teeth cleaning in Sahakara Nagar, Apollo Dental Clinic offers advanced care for individuals and families across these locations. Our clinic is conveniently located to make high-quality dental care easily accessible for residents in and around North Bangalore.

About Us

At Apollo Dental in Sahakar Nagar, Bangalore, we hold ourselves to the highest standards of dental care. As a part of India’s leading healthcare group, Apollo Hospitals, we envision a transformation in dental healthcare that takes us to a world-class level.

Our Location

Contact Info

26, 1st Floor, G' Block, 60 Feet Rd, next to Big Market, Sahakar Nagar, Byatarayanapura, Bengaluru, Karnataka 560092

+91 9845055386

080 41500111

18002020507

info@apollodentalsahakarnagar.com

Follow Us

Website Visits

© 2025 Apollo Dental Hospital Sahakar Nagar. All Rights Reserved. | Web Design Development and Digital Marketing by DIGITAL ADWORKS